Skip to content Skip to sidebar Skip to footer

Kid With Abscess On Gum - Canker Sores Likewise Called Mouth Ulcers Appear In The Mouth Or Cheeks Sore Gums Remedy Tooth Abcess Remedy Swollen Gums Remedy - What causes abscess on gum?

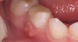
Kid With Abscess On Gum - Canker Sores Likewise Called Mouth Ulcers Appear In The Mouth Or Cheeks Sore Gums Remedy Tooth Abcess Remedy Swollen Gums Remedy - What causes abscess on gum?. An abscess of gum can be effectively described as a pocket found on the gum lining filled with pus or infected liquid. Learn all about gum boils and dental abscess symptoms, treatment and what an abscessed tooth looks like. When you get an abscess on your gum, these are the symptoms that may appear: Pus pocket on the gums, commonly known as gum abscess and medically known as periodontal abscess, is a condition where there is localized inflammation with formation of pockets of pus in the tissues (periodontal tissues) which support our teeth. Other than a gum abscess (also referred to as a gingival abscess), there are two other types of dental abscess.

Pus pocket on the gums, commonly known as gum abscess and medically known as periodontal abscess, is a condition where there is localized inflammation with formation of pockets of pus in the tissues (periodontal tissues) which support our teeth. Home remedies may help treat the symptoms, but the abscess will need treatment and drainage from a dentist. This is the second time this has happened. This kind of infection is called an abscessed tooth, or a periapical abscess. In this article we will discuss

Gum And Tooth Abscess Symptoms And Possible Treatment Zendium
Gum And Tooth Abscess Symptoms And Possible Treatment Zendium from www.zendium.co.uk
Guess i should have had a kid and forced him to become a dentist. What causes abscess on gum? This condition is very painful because of the increased pressure built up because of the pus accumulation. Abscess of gum should be treated immediately to avoid complications and the spread of infection to. Emily lawrenson & bronwen griffiths. An abscess of gum can be effectively described as a pocket found on the gum lining filled with pus or infected liquid. Gum abscesses and gum boils: Home remedies may help treat the symptoms, but the abscess will need treatment and drainage from a dentist.

Blackheads, pimples, cysts, abscesses, and more.

Blackheads, pimples, cysts, abscesses, and more. The swelling can be very painful and sometimes unbearable for children. But yesterday it turned yellowish so my husband brought her to the doctor today. Calling them a tooth or gum abscess is simpler terminology for a mouth abscess, but to dentists and dental professional who actually treat the abscess for you, they. This condition is very painful because of the increased pressure built up because of the pus accumulation. It should be treated with good hygiene, painkillers, clove oil, salt water and other simple home remedies. This affects the tissues that support teeth and hold them in place. This early stage of gum disease is known as gingivitis. A sudden and intense, throbbing pain in the affected tooth or applying cold compresses to an abscess on your gum can help numb the area and relieve the swelling and pain. Home remedies for gum and tooth abscess, like painkillers, tea bags, benzocaine, or saltwater rinse, can offer pain relief scientific evidence tells us that not all home remedies will work for both kinds of dental abscess — what works for an abscessed tooth may not help for an abscess in the gums. Cold compresses are great to use on. Most gum abscess is found at the end of a tooth's root and in between gums and teeth. Ibuprofen and paracetamols benefit adults, aspirin ought to be offered to kid under the age of 16 years.

Gum boil, also known as gum abscess or parulus is the draining point of deep tooth infection that needs root canal treatment or caused by bacteria leaved in the mouth because of poor oral hygiene. A tooth abscess is an infection at the root of a tooth or between the tooth and the gum. It started out two days ago as a small white spot, and i thought she was finally getting a top tooth. Abscesses in the mouth are relatively common and can occur for various reasons. It forms as a direct result of advanced periodontal gum disease.

Dental Problems In Primary Care American Family Physician
Dental Problems In Primary Care American Family Physician from www.aafp.org
Regular brushing and flossing can help keep a painful gum abscess away. Gum abscess treatment involves eliminating the cause of the infection and draining the buildup of pus. Gum abscesses and gum boils: Find out what to do if you have an abscessed tooth. The reddening of the gums and pain are your very first indicators that something is happening. Gum abscess may cause persistent pain and swelling. Abscesses in the mouth are relatively common and can occur for various reasons. Gum abscess is a type of a dental abscess.

My daughter had no abscess on her tooth but the baby tooth was starting to turn greay so today they took her tooth out.

Before i go any further, i would like to point out that a gum abscess is different than a tooth abscess. Gum abscess is a type of a dental abscess. Children's teeth should be brushed. If gingivitis is not treated, a condition called periodontitis can develop. A periodontal abscess also called lateral abscess, or parietal abscess is a localized collection of pus within the tissues of the periodontium. Gum abscesses and gum boils: Regular brushing and flossing can help keep a painful gum abscess away. But yesterday it turned yellowish so my husband brought her to the doctor today. Other than a gum abscess (also referred to as a gingival abscess), there are two other types of dental abscess. Learn all about gum boils and dental abscess symptoms, treatment and what an abscessed tooth looks like. The abscess indicates that the tooth is. How to deal with abscess on gum. Gum abscesses are slightly different to dental abscesses, though they may share some of the same symptoms and treatments.

Other than a gum abscess (also referred to as a gingival abscess), there are two other types of dental abscess. It is caused by a bacterial infection. This affects the tissues that support teeth and hold them in place. Your dental professional might also recommend the following procedure, depending with. The gum abscess involves only the gingiva of the gums.

A To Z Abscess Periapical For Parents Levine Children S Hospital
A To Z Abscess Periapical For Parents Levine Children S Hospital from m.kidshealth.org
When bacteria gets into the root of a tooth, it can cause an infection. Abscess on the gum is a pus filled sac that generally forms below the gum tissue. It should be treated with good hygiene, painkillers, clove oil, salt water and other simple home remedies. The formation of an abscess on the baby's gums signals a serious inflammation or injury.do not ignore the appearance of the tumor, and if it is found, you discontinue oral care.to clean a teeth to the kid it is necessary during illness, only accurately; This condition is very painful because of the increased pressure built up because of the pus accumulation. These infections don't go away on their own, so it's important to see your dentist if you think you have one. A gum abscess or tooth abscess, often referred to as a dental abscess, is a pus filled pocket that can form in or on the teeth or gums. A gum abscess almost always results in pain from the pressure of the trapped pus and the pain can spread to ears, neck, and jaw.

The abscess indicates that the tooth is.

The abscess indicates that the tooth is. Cold compresses are great to use on. When you get an abscess on your gum, these are the symptoms that may appear: It started out two days ago as a small white spot, and i thought she was finally getting a top tooth. Children's teeth should be brushed. Pus pocket on the gums, commonly known as gum abscess and medically known as periodontal abscess, is a condition where there is localized inflammation with formation of pockets of pus in the tissues (periodontal tissues) which support our teeth. Abscess of gum should be treated immediately to avoid complications and the spread of infection to. It forms as a direct result of advanced periodontal gum disease. The swelling can be very painful and sometimes unbearable for children. If you have gum disease, your gums may bleed when you brush your teeth and you may have bad breath. Abscess on the gum is a pus filled sac that generally forms below the gum tissue. Abscess on gum is caused by bacteria infection. Pain relief measures a gum abscess is not always what it seems, as there may be underlying issues that need to be treated such as a weakened immune system.

Home remedies to reduce gum swelling | how to reduce gum swelling kid with abs. The gum boil appears like a bump below your gum line and it can be the same color of tissue, redder.